오징어 고래회충 증상과 아니사키스 치료
고래회충이란 무엇인가?
고래회충, 학명으로 아니사키스(Anisakis)는 자연산 생선과 해양 동물에 기생하는 기생충입니다. 이 기생충은 주로 물고기의 내장에 서식하며, 사람이 이를 섭취할 경우 심각한 복통과 구토 등 증상을 유발할 수 있습니다. 고래회충에 관한 뉴스는 매년 등장하며, 많은 사람들에게 공포감을 조성하기도 합니다.

고래회충은 생선이 죽은 후 살로 이동하며, 이는 생선의 내장이 아닌 살 부분에서 발견될 가능성을 높입니다. 하지만 적절한 조리와 관리 방법으로 충분히 예방이 가능합니다.
고래회충의 주요 서식지와 위험 생선
고래회충은 특히 자연산 생선에서 자주 발견됩니다. 다음은 고래회충 감염 가능성이 높은 생선들입니다:
- 오징어: 오징어 내장에는 고래회충이 발견될 가능성이 매우 높습니다.
- 삼치, 고등어, 병어: 자연산 생선 중에서 고래회충 감염률이 높은 종류입니다.
- 갈치: 고래회충이 대량으로 발견되는 생선으로 유명합니다.
- 볼락: 자연산 볼락 역시 고래회충 감염 가능성이 존재합니다.
반면 양식 생선은 고래회충의 주요 숙주인 갑각류를 먹지 않기 때문에 감염 위험이 거의 없습니다. 양식 생선은 주로 사료나 멸치를 먹이로 제공받기 때문입니다.
고래회충의 생존 조건
고래회충은 특정 조건에서 생존할 수 있으며, 이를 활용하면 안전하게 생선을 섭취할 수 있습니다:
- 고온 조리: 60도 이상의 온도에서 10분 이상 조리하면 고래회충은 완전히 사멸합니다. 온도가 높을수록 조리 시간은 단축됩니다.
- 저온 냉동: 영하 20도 이하에서 24시간 이상 냉동하면 고래회충은 생존할 수 없습니다. 따라서 냉동 생선은 고래회충으로부터 안전합니다.
- 신속한 내장 제거: 생선이 죽기 전에 내장을 신속히 제거하면 고래회충이 살로 이동하는 것을 방지할 수 있습니다.
오징어 고래회충 증상
오징어를 포함한 생선을 통해 고래회충이 인체에 들어오면 빠르게 증상이 나타납니다. 일반적으로 감염 후 3~4시간 안에 다음과 같은 증상이 발생할 수 있습니다:
- 극심한 복통: 위벽을 뚫으려는 고래회충의 활동으로 인해 심한 통증이 유발됩니다.
- 구토 및 메스꺼움: 고래회충이 위장에 미치는 자극으로 인해 발생합니다.
- 발열 및 알레르기 반응: 드물게 면역 반응으로 인해 발열이나 두드러기가 나타날 수 있습니다.
고래회충의 잠복기는 거의 없으며, 증상은 빠르게 나타나므로 감염이 의심될 경우 즉시 병원을 방문해야 합니다.
아니사키스 치료 방법
고래회충 감염은 응급 상황으로 간주됩니다. 치료는 다음과 같은 절차로 진행됩니다:

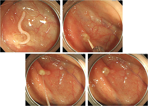
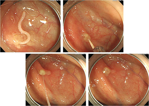
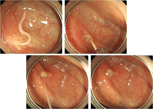
- 내시경 제거: 병원에서 내시경을 통해 위벽이나 장벽에 박힌 고래회충을 제거합니다.
- 대증 치료: 복통이나 구토 등 증상을 완화하기 위한 약물을 투여합니다.
- 예방 조치 안내: 생선 섭취 시 주의할 점과 안전한 조리 방법에 대한 교육이 이루어집니다.
고래회충 예방을 위한 안전한 생선 섭취법
고래회충 감염을 예방하기 위해 생선 섭취 시 다음과 같은 주의사항을 지켜야 합니다:
- 회 섭취 시 주의: 자연산 생선을 회로 섭취할 경우, 2cm 정도의 실 모양의 이물질을 면밀히 확인하고 제거합니다.
- 철저한 조리: 생선을 70도 이상으로 조리하거나, 냉동 상태에서 섭취합니다.
- 양식 생선 선호: 자연산 생선 대신 양식 생선을 섭취하면 고래회충 감염 위험을 줄일 수 있습니다.
결론
고래회충은 자연산 생선의 내장에 흔히 기생하지만, 적절한 조리와 섭취 방법을 따르면 충분히 예방할 수 있습니다. 오징어를 포함한 자연산 생선을 회로 먹고자 한다면 세심한 확인이 필요하며, 감염 증상이 나타날 경우 즉시 병원을 찾아야 합니다. 양식 생선은 고래회충 감염 위험이 적어 더 안전한 선택입니다.